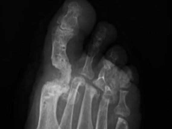
¿Has escuchado hablar de pseudartrosis y artrodesis de hallux? Estos términos médicos pueden sonar complicados, pero te explicaremos de forma sencilla qué significan y por qué a veces es necesario un rescate.
- Artrodesis de hallux: Es una cirugía que se realiza para fusionar la articulación del dedo gordo del pie (hallux) con el hueso del pie. Esto se hace para aliviar el dolor y corregir deformidades, como el juanete.
- Pseudartrosis: Ocurre cuando un hueso fracturado o una articulación fusionada no se consolida correctamente, es decir, no se une como debería. En el caso de la artrodesis de hallux, una pseudartrosis significa que la articulación no se fusionó por completo, lo que puede causar dolor y limitar la movilidad.
¿Por qué es necesario un rescate?
Cuando una artrodesis de hallux no se consolida, es necesario realizar una cirugía de rescate para corregir la pseudartrosis. Esta cirugía implica limpiar el área, eliminar cualquier tejido que impida la consolidación y, en algunos casos, utilizar injertos óseos o factores de crecimiento para estimular la unión ósea.
¿Cuáles son los síntomas de una pseudartrosis?
Los síntomas más comunes de una pseudartrosis en la artrodesis de hallux incluyen:
- Dolor persistente en la zona de la cirugía
- Hinchazón
- Enrojecimiento
- Limitación de la movilidad del dedo gordo
Si sospechas que tienes una pseudartrosis, es importante que consultes a un especialista en pie y tobillo. Ellos podrán realizar un diagnóstico preciso y recomendar el tratamiento más adecuado para tu caso.
Recuerda que cada caso es único y los resultados de la cirugía de rescate pueden variar. Es fundamental seguir las indicaciones de tu médico para lograr una recuperación exitosa.
¿Quieres saber más sobre este tema? No dudes en dejar tus preguntas en los comentarios.


