La diabetes puede causar artropatía, una afección que daña las articulaciones debido a altos niveles de azúcar en sangre, afectando la movilidad y bienestar general.
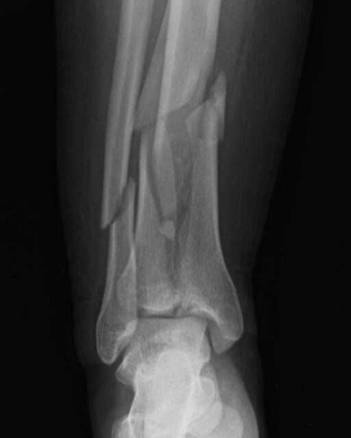
Manejo inicial en las fracturas complejas de tibia
El manejo inicial de una fractura compleja de tibia representa un punto de inflexión en el proceso de recuperación del paciente. Tal como lo destacó el Dr. Escobar, la fijación
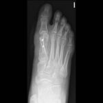
Rescate de pseudartrosis artrodesis de hallux
¿Has escuchado hablar de pseudartrosis y artrodesis de hallux? Estos términos médicos pueden sonar complicados, pero te explicaremos de forma sencilla qué significan y por qué a veces es necesario
Rescate de Osteomielitis Crónica
La osteomielitis crónica es una infección del hueso que persiste durante mucho tiempo y puede ser difícil de tratar, especialmente si no se diagnostica a tiempo. Esta afección generalmente ocurre




