Site logo
Sticky header logo
Mobile logo
  • especialidades
  • historia
  • casos
  • contactar

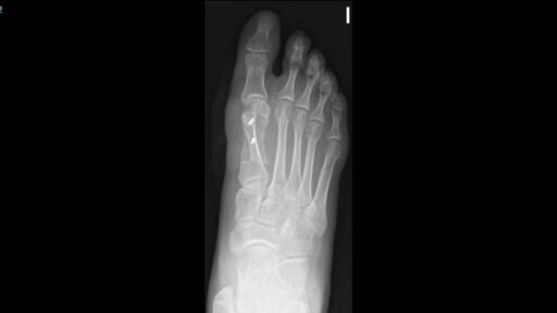
Juanete

Deformidades ¿Cirugía de juanetes por estética? Mejor pensarlo dos veces
25 julio, 2025in Deformidades 0 Comments 0 Likes

¿Cirugía de juanetes por estética? Mejor pensarlo dos veces

La cirugía de hallux valgus o juanete no debería realizarse si no hay dolor o dificultades para caminar. En este artículo explicamos por qué es mejor evitar intervenciones innecesarias y qué alternativas existen cuando el problema no afecta la funcionalidad del pie.

by Dr. Darío Escobar
Cirugía ortopédica Opciones de tratamiento para Hallux valgus – Juanete
13 septiembre, 2024in Cirugía ortopédica 0 Comments 0 Likes

Opciones de tratamiento para Hallux valgus – Juanete

by Dr. Darío Escobar

Categories

  • Cirugía ortopédica
  • Cirugía traumatológica
  • Congresos
  • Deformidades
  • Fracturas
  • Sin categoría

Recent Posts

¿Cirugía de juanetes por estética? Mejor pensarlo dos veces
¿Cirugía de juanetes por estética? Mejor pensarlo dos veces
25.07.2025 0 0
Pié neurológico
Pié neurológico
13.09.2024 0 0
Opciones de tratamiento para Hallux valgus – Juanete
Opciones de tratamiento para Hallux valgus – Juanete
13.09.2024 0 0

Tags

Cirugía traumatológica Congreso SAMECIPP 2024 Drop foot Fracturas Hallux valgus Juanete Pie neurológico Tobillo
Subfooter logo
Diseñado por FAH! Marketing ™ Todos los derechos reservados 2024.
div#stuning-header .dfd-stuning-header-bg-container {background-size: cover;background-position: center center;background-attachment: scroll;background-repeat: no-repeat;}#stuning-header div.page-title-inner {min-height: 620px;}#main-content .dfd-content-wrap {margin: -10px;} #main-content .dfd-content-wrap > article {padding: 10px;}@media only screen and (min-width: 1101px) {#layout.dfd-portfolio-loop > .row.full-width > .blog-section.no-sidebars,#layout.dfd-gallery-loop > .row.full-width > .blog-section.no-sidebars {padding: 0 20px;}#layout.dfd-portfolio-loop > .row.full-width > .blog-section.no-sidebars > #main-content > .dfd-content-wrap:first-child,#layout.dfd-gallery-loop > .row.full-width > .blog-section.no-sidebars > #main-content > .dfd-content-wrap:first-child {border-top: 20px solid transparent; border-bottom: 10px solid transparent;}#layout.dfd-portfolio-loop > .row.full-width #right-sidebar,#layout.dfd-gallery-loop > .row.full-width #right-sidebar {padding-top: 10px;padding-bottom: 10px;}#layout.dfd-portfolio-loop > .row.full-width > .blog-section.no-sidebars .sort-panel,#layout.dfd-gallery-loop > .row.full-width > .blog-section.no-sidebars .sort-panel {margin-left: -20px;margin-right: -20px;}}#layout .dfd-content-wrap.layout-side-image,#layout > .row.full-width .dfd-content-wrap.layout-side-image {margin-left: 0;margin-right: 0;}
×